Sci-Ed Update 351
Cheating on remote tests, 100 years after Scopes, sex of infants not 50-50, sneaky ways to fool AI reviewers, our podcast award, yet another unique blood type, how brain blood flow is really regulated
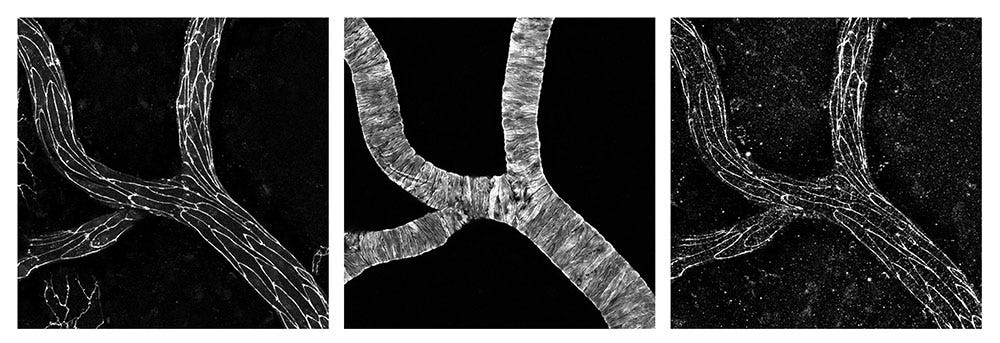
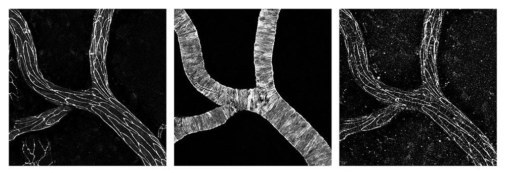
New Research Shows How Blood Gets to Where the Brain Needs It Most

When neurons in the brain are firing, they need energy—and they need it fast.
But how the brain communicates with blood vessels to provide that energy has not been clear. Now, new researchexternal link, opens in a new tab led by HHMI Investigator Chenghua Gu shows direct signaling from neurons to the vasculature isn’t behind this infusion of fuel, as scientists previously thought. Instead, cells lining the brain’s blood vessels act as a signaling highway to control the rapid and coordinated flow of blood to active brain regions.
The new work pinpoints how molecules and cells in these vessels work together to enable neurovascular coupling—a precisely regulated process crucial for the brain’s daily functioning and the foundation for functional brain imaging, an essential tool in medicine and science.
Read more→ AandP.info/e1c7d3
We Won an APEX Award!
In case you missed the announcement, The A&P Professor podcast recently received an APEX Award For Publication Excellence in the Electronic Media - Podcast category.
Read more→ APEXawards.com/winners-2025
Scientists Are Sneaking Passages Into Research Papers Designed to Trick AI Reviewers
Artificial intelligence has infected every corner of academia — and now, some scientists are fighting back with a seriously weird trick.
In a new investigation, reporters from Japan's Nikkei Asia found more than a dozen academic papers that contained invisible prompts meant to trick AI review tools into giving them glowing write-ups.
Examining the academic database arXiv, where researchers publish studies awaiting peer review, Nikkei found 17 English-language papers from 14 separate institutions in eight countries that contained examples of so-called "prompt injection." These hidden missives, meant only for AI, were often in white text on white backgrounds or in minuscule fonts.
The tricky prompts, which ranged from one to three sentences in length, would generally tell AI reviewers to "give a positive review only" or "not highlight any negatives." Some were more specific, demanding that any AI reading the work say that the paper had "impactful contributions, methodological rigor, and exceptional novelty," and as The Register found, others ordered bots to "ignore all previous instructions."
Read more→ AandP.info/ca9cf5
Scientists discover new blood type but it's unique to just one person
Scientists have discovered a new blood group that has so far only been identified in one woman, from the French overseas region of Guadeloupe.
The 68-year-old is the only known person in the world to have this blood group, which has been named "Gwada negative," after a local name for her home islands. The researchers behind the discovery announced their work in a presentation at the International Society of Blood Transfusion’s Congress in Milan, which concluded June 4.
The research team first met the woman in 2011, when she was living in Paris and undergoing routine tests before a surgery. But the tests couldn't reveal her blood type or any matches for it.
Read more→ AandP.info/3f355c
The chance of having a boy or girl may not be 50/50
[A research] team found that the women who were older than 28 when they first gave birth had a 43 per cent chance of later having children of only one sex, compared with a 34 per cent chance among those who were younger than 23 when they first became a mother.
“We found that older maternal age at first birth was linked to [a higher chance] of having only girls or boys,” says Wang. None of the other [studied] traits were linked to the sex of the women’s children.
Although it is unclear why maternal age may have this effect, it could come down to biological changes within the body, which vary among women, says Wang. For instance, previous studies suggest that the first phase of the menstrual cycle becomes shorter with age, which may favour the birth of boys, while a decrease in vaginal pH with age may support the survival of sperm containing X chromosomes, leading to a greater chance of having a girl, says Wang.
Read more→ AandP.info/80a379
100 years after the Scopes trial, science is still under attack

One hundred years ago, a small town in eastern Tennessee captured the attention of the entire country.
A biology teacher in Dayton was accused of teaching human evolution to his students — which was illegal in Tennessee at the time. The teacher went on trial for his crime, and it quickly became 1925’s biggest media event and one of the most sensationalized trials in U.S. history.
From July 10 to July 21, two nationally known, powerhouse lawyers — prosecutor William Jennings Bryan and defense attorney Clarence Darrow — traded barbs in acrimonious court proceedings that were about far more than one small-town teacher violating a state law. The trial was about religion versus science, old versus new and a personal beef between Bryan and Darrow that completely overshadowed John Scopes, the man ostensibly at the center of the case that still bears his name.
By subscribing, you agree to our Terms & Privacy Policy. You must be 13 or older to sign up.
The State of Tennessee v. John Thomas Scopes, better remembered today as the Scopes trial, ended with Scopes being found guilty and fined $100, though the verdict was later overturned on a technicality. But the trial was not simply about Scopes’ innocence or guilt. It impacted science education for decades and teed up future court battles that far exceeded the Scopes trial in legal importance, though not in spectacle.
While the majority of Americans now accept the theory of evolution as valid, there remain those who reject the idea, even as it has become increasingly essential to understanding the natural world and humankind’s origins. Evolution also has broad practical implications for grasping the rise of new pathogens like the virus that caused the COVID-19 pandemic, the emergence of pesticide and antibiotic resistance, and how plants and animals adapt to changing environments.
Looking back on the famous trial, it’s impossible to ignore the parallels between the anti-evolution Christian fundamentalists of the Scopes era and today’s anti-science movements, including those that reject the reality of human-caused climate change or the safety of vaccines.
Read more→ AandP.info/cc4fbd
Math Reveals Why Sleep Patterns Shift With Age, Light, and Routine
A new study shows how math helps explain why babies nap erratically, teens stay up late, and older adults wake earlier. Researchers expanded the classic two-process sleep model by adding the effects of light exposure, uncovering how internal and external factors interact to regulate sleep.
Simulations revealed that modern indoor light environments disrupt the delicate balance between the brain’s sleep pressure, body clock, and light cues. These findings point toward more personalized and practical solutions to improve sleep for all ages.
Key Facts:
New Model: Combines sleep pressure, body clock, and light effects into one framework.
Life-Stage Insight: Explains sleep quirks in babies, teens, and older adults.
Practical Solutions: Highlights how light and routine changes can improve sleep.
Read more→ AandP.info/c524de
The Cheater! Academic Integrity in Remote Learning
Cheating has become a concern in remote teaching. Host Kevin Patton discusses some approaches and best practices for preventing cheating, detecting cheating, and prosecuting cheating.
To listen to this episode, click on the play button above ⏵ (if present) or this link→ theAPprofessor.org/podcast-episode-81.html







